Ischemia

Figure A. H&E x20

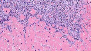
Figure B. H&E x20

Figure C. H&E x20

 

 

 

 

Acquired

 

Clinical History: 40 year-old male with history of left ventricular thrombus and non ischemic cardiomyopathy due to chemotoxicity in setting of childhood acute lymphocytic leukemia presented with severe decompensated heart failure and received a left ventricular assist device. After a few days he developed cardiac arrest.

Histology: Left ventricular excisional biopsy was performed and H&E staining (Figures A, B, C) showed acute inflammatory changes with infiltration of neutrophils. Some myocardial fibers are undergoing necrosis and there is also evidence of hemorrhage (Figures A and B). These findings are consistent with a recent myocardial infarction.


(Last Edition: July 09, 2022 )