WELCOME TO

Heart Pathology

ISSN: 2639-684X

  

Editor: Francisco G. La Rosa, MD*

Associate Professor

   

*University of Colorado, Anschutz Medical Campus

Department of Pathology

12800 East 19th Avenue (Mail Stop 8104)

Aurora, CO 80045-0508

   Phone: 303-724-3782

 

Collaborators:

Charles C. Marboe, MD, Absia Jabbar, MD, Amber Berning, MD

  

Acknowledgement: Histology Lab UC Denver

  

Disclaimer:

The University of Colorado is not responsible for the content of this Web site

   

 

 

 



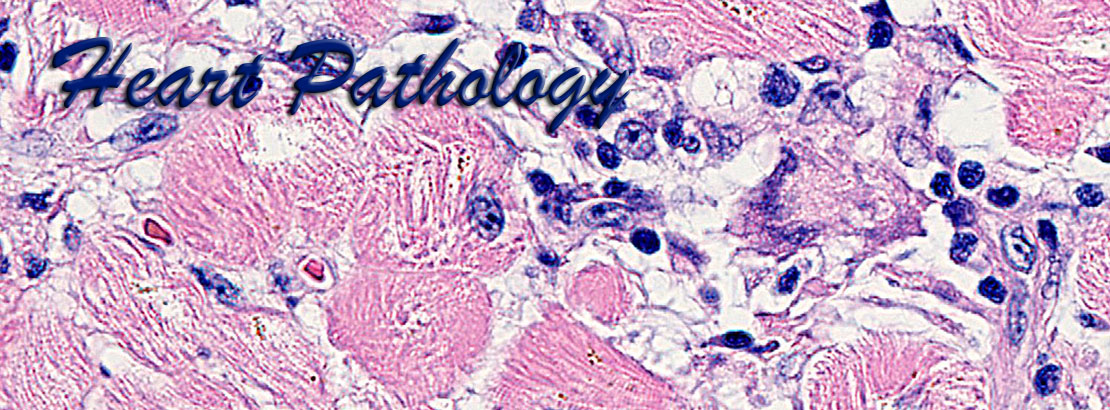
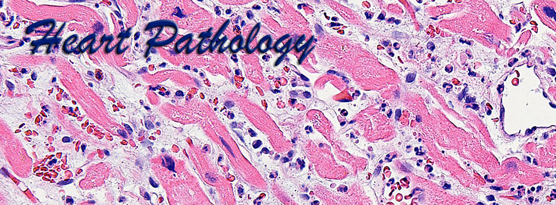
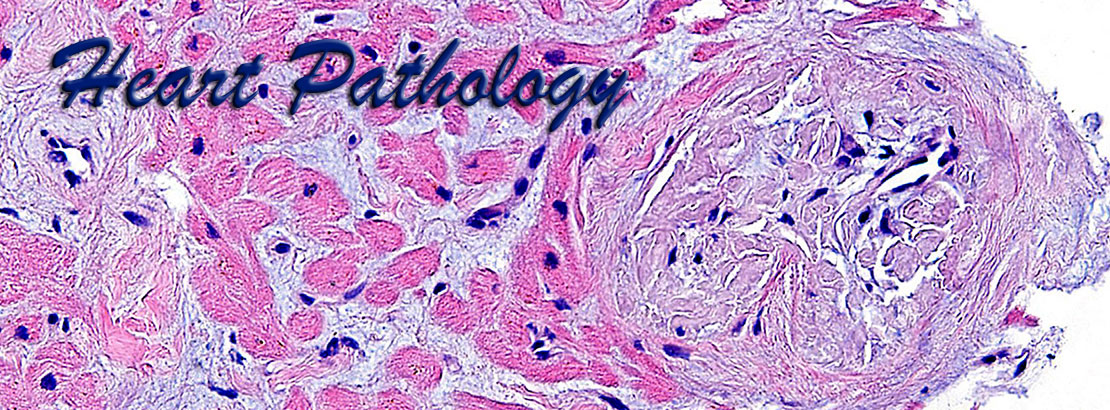
Cardiac pathology is an important area of pathology but is not comprehensively taught at many medical centers due to the paucity of cardiac specimens outside of the autopsy services. Our website uses high definition images obtained from gross pathology specimens and histological slides, both at a resolution of 1800x1350 pixels. Most images have been obtained using Olympus digital cameras.

The images presented here represent a wide variety of heart pathology cases, including acquired diseases, transplantation pathology, idiopathic diseases, tumor pathology, etc., and are accompanied by brief morphological descriptions. The histological images are shown at different optical magnifications and include conventional stains such as hematoxylin-eosin, PAS, trichrome stains, as well as immunohistochemical stains. Also included are some images from normal tissues and from positive and negative controls for the corresponding special stains.

Although aimed in particular at pathologists, our website may serve as a reference guide to medical students, residents & fellows, as well as to cardiologists, cardiothoracic surgeons, general practitioners and allied practitioners.


(Last Edition: July 10, 2023 )