Undifferentiated high grade cardiac sarcoma

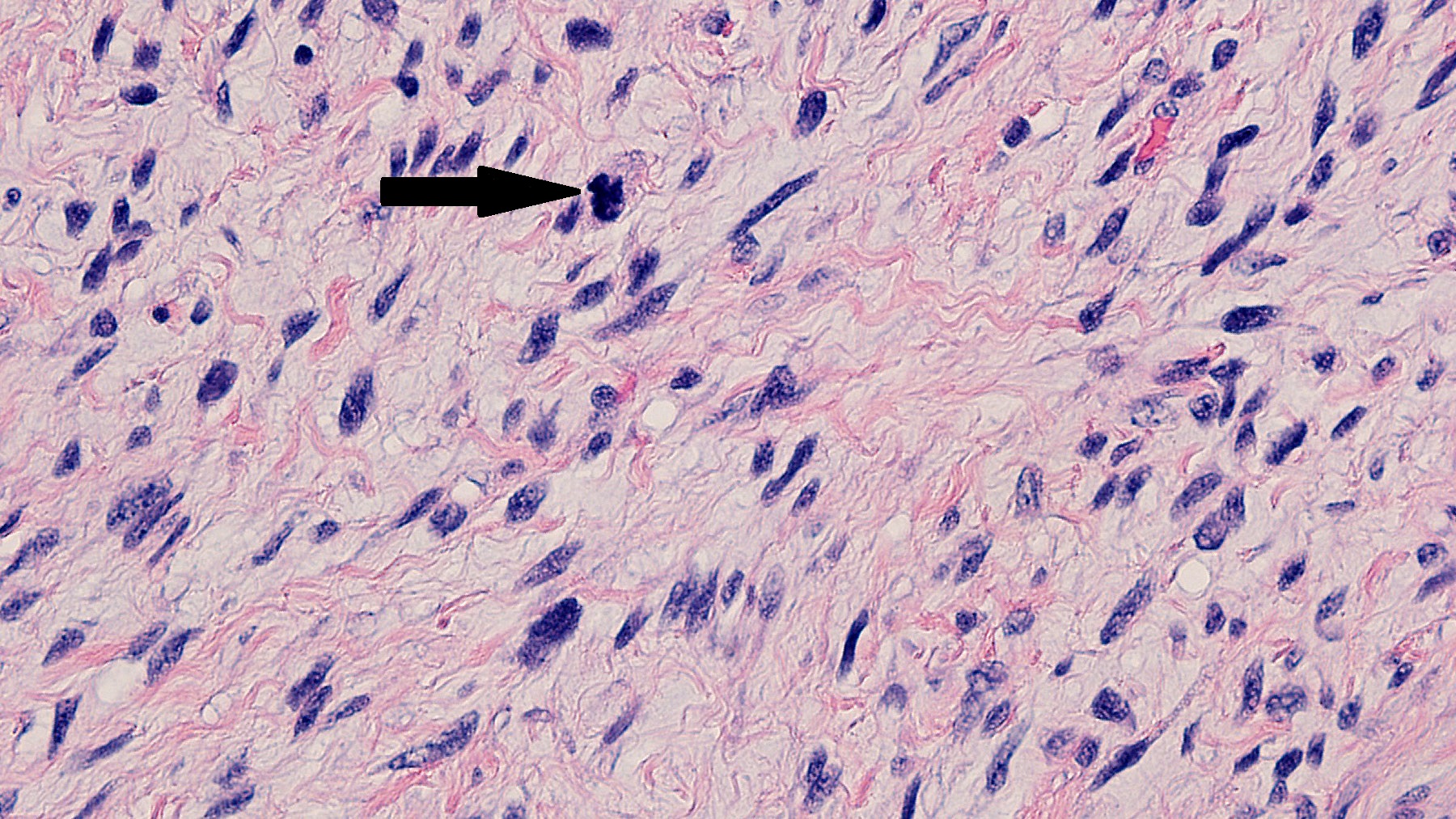
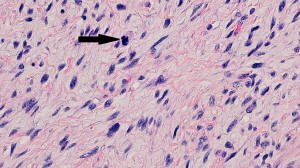
Figure A. H&E x20

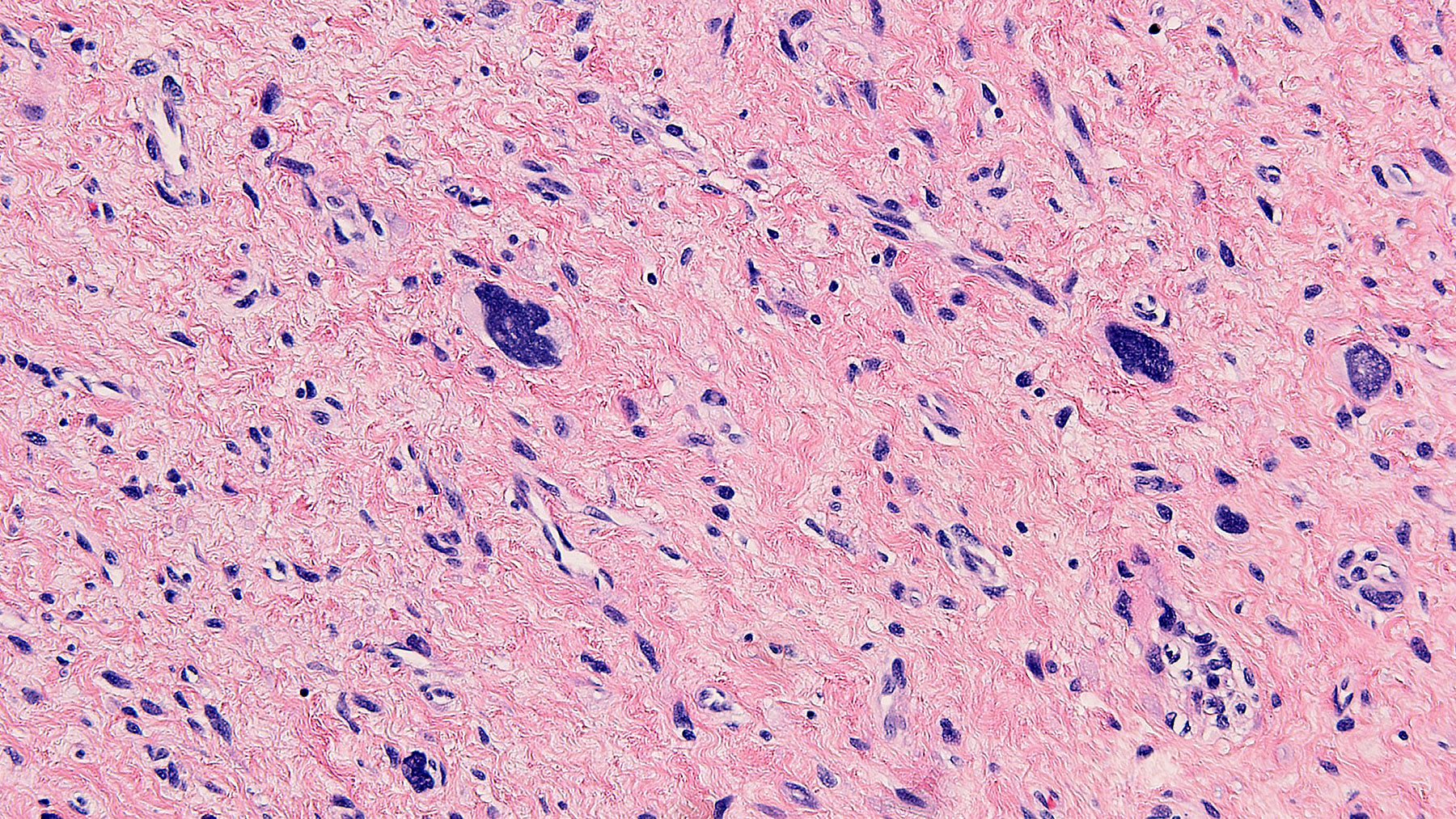
Figure B. H&E x40

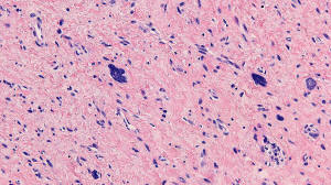
Figure C. H&E x 20

Figure D. CD34 staining

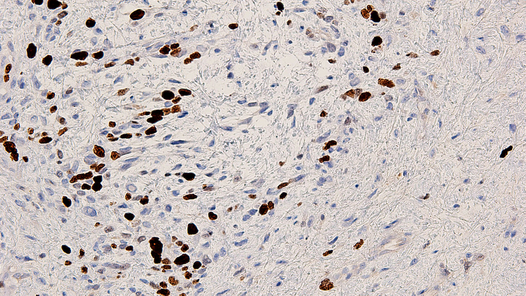
Figure E. MIB-1 (Ki-67) staining

   

Tumors

 

Clinical History: 62 year-old male with history of atrial fibrillation was found to have a left atrial mass on echocardiography. It was initially presumed to be an atrial myxoma and an excisional biopsy was performed.

Histology: H&E staining (Figures A, B & C) show fusiform pleomorphic tumor cells, with hyperchromatic nuclei and scattered mitotic figures (arrows in Figures A & B) in the background of a collagenous stroma. Figure D shows sarcoma cells with faintly cell membrane staining for CD34; Figure E shows tumor cells with strong nuclear staining for MIB-1 (Ki-67), revealing a moderate proliferation rate, as compared with the benign connective tissue at the right side of the figure.


(Last Edition: July 09, 2022 )